Tủy răng là gì?
Tủy răng là phần mô mềm nằm ở trung tâm của răng, chứa các dây thần kinh, mạch máu và mô liên kết, có vai trò cung cấp dinh dưỡng và cảm giác cho răng. Tủy răng được bao bọc bởi men răng và ngà răng, giúp bảo vệ nó khỏi tác động bên ngoài.

Nội Dung Chính
Nguyên nhân của viêm tủy răng
Viêm tủy răng xảy ra khi tủy răng bị tổn thương hoặc nhiễm trùng do nhiều nguyên nhân khác nhau, bao gồm:
- Sâu răng: Sâu răng không được điều trị kịp thời sẽ lan rộng và xâm nhập vào lớp tủy, gây viêm nhiễm.
- Chấn thương răng: Các tác động mạnh như tai nạn, gãy răng hoặc sang chấn do khớp cắn có thể làm tổn thương đến tủy răng.
- Răng bị mài mòn hoặc nứt vỡ: Khi răng bị mài mòn gần sát với tủy răng hoặc nứt vỡ, vi khuẩn dễ dàng xâm nhập vào bên trong tủy và gây viêm.
- Tác động từ các điều trị nha khoa không đúng cách: Các phương pháp điều trị nha khoa không đạt chuẩn có thể làm tổn thương tủy răng.
Điều trị tủy răng có lợi ích gì?
Điều trị tủy răng (hay còn gọi là điều trị nội nha) là phương pháp giúp loại bỏ phần tủy bị viêm hoặc nhiễm trùng, từ đó giúp bảo tồn răng thật và tránh phải nhổ răng. Các lợi ích của điều trị tủy răng bao gồm:
- Loại bỏ cơn đau: Điều trị giúp loại bỏ tủy răng bị viêm, giảm thiểu đau nhức và khó chịu.
- Ngăn ngừa nhiễm trùng lan rộng: Điều trị kịp thời sẽ ngăn chặn vi khuẩn lây lan từ răng bị viêm sang các mô xung quanh, bảo vệ các răng lân cận.
- Bảo tồn răng: Điều trị nội nha giúp duy trì cấu trúc răng thật, tránh việc phải nhổ bỏ và thay thế bằng răng giả hoặc cấy ghép implant.
Điều trị tủy răng có đau không?
Trong quá trình điều trị tủy răng, bệnh nhân được gây tê để loại bỏ cảm giác đau trong quá trình thực hiện. Tuy nhiên, sau khi hết thuốc tê, bệnh nhân có thể cảm thấy hơi ê buốt hoặc đau nhẹ trong vài ngày đầu. Cơn đau này thường là tạm thời và có thể được kiểm soát bằng các loại thuốc giảm đau do bác sĩ kê toa.
Tại Nha Khoa Bảo Tồn Cửu Vân có sứ dụng máy gây tê điện giúp giảm cảm giác khó chịu khi gây tê đồng thời làm tăng hiệu quả của thuốc tê khiến việc điều trị tủy trở nên nhẹ nhàng hơn.
Quy trình điều trị tủy răng an toàn

Quy trình điều trị tủy răng an toàn bao gồm các bước sau:
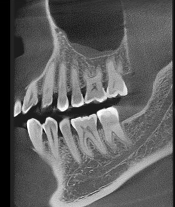
- Khám và chẩn đoán: Bác sĩ sẽ thực hiện khám răng miệng và chụp X-quang để xác định mức độ viêm nhiễm của tủy răng.
- Vệ sinh răng miệng và gây tê: Bệnh nhân sẽ được vệ sinh răng miệng loại bỏ bớt vi khuẩn và gây tê tại vùng răng cần điều trị để không còn cảm giác đau.
- Điều trị tủy: Bác sĩ sẽ tiến hành điều trị tủy, khử trùng hệ thống ống tủy và trám bít kín hệ thống ống tủy
- Phục hình răng: Cuối cùng, răng sẽ được trám lại hoặc bọc mão sứ để bảo vệ và khôi phục chức năng của răng.

Việc điều trị viêm tủy răng đúng cách không chỉ giúp loại bỏ triệu chứng mà còn bảo tồn răng thật, ngăn ngừa các biến chứng nghiêm trọng hơn.
Kết quả điều trị tủy răng

Nha Khoa Bảo Tồn Cửu Vân – Địa chỉ uy tín để điều trị tủy
Công nghệ chuẩn đoán hình ảnh tiên tiến
Tại Nha Khoa Bảo Tồn Cửu Vân sử dụng máy X-quang CBCT 3D đến từ thương hiệu Ray với độ chính xác và hình ảnh sắc nét, giúp cho việc chuẩn đoán và điều trị có tỷ lệ thành công cao.
Vật liệu tương hợp sinh học với nhiều ứng dụng trong điều trị tủy
MTA được biết đến với khả năng tương thích sinh học, giúp thúc đẩy quá trình lành vết thương và giảm thiểu tình trạng viêm nhiễm. Nó có thể kích thích sự hình thành mô khoáng hóa và ít gây ra phản ứng bất lợi hơn so với các vật liệu khác. Tại Nha Khoa Bảo Tồn Cửu Vân sử dụng thuốc MTA thuộc thương hiệu Maruchi (Hàn Quốc).












